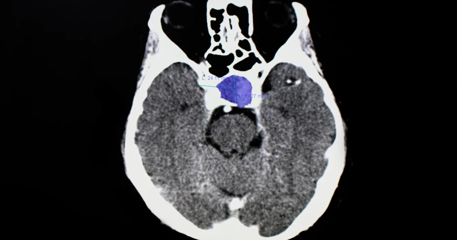
Këto ndryshime të papritura në trup shpesh keqinterpretohen, por mund të jenë sinjali i parë i një tumori beninj që ndikon fuqishëm në hormonet e organizmit
Simptoma të pazakonshme që lidhen me balancën hormonale dhe shfaqen papritur, si mungesa e menstruacioneve, rrjedhja e qumështit nga gjoksi te gratë që nuk janë lehona, disfunksioni erektil te meshkujt apo madje edhe rritja e pazakontë e gjinjve (ginekomastia) – mund të jenë shenja të hershme të një tumori të hipofizës.
Për të ofruar përvojën më të mirë, Spektri TV përdor cookies dhe teknologji të ngjashme për të ruajtur dhe/ose për të aksesuar informacion në pajisjen tuaj. Pranimi i këtyre teknologjive na mundëson të përpunojmë të dhëna si sjellja e shfletimit dhe identifikues unikë, për analiza dhe shfaqje reklamash. Mospranimi ose tërheqja e pëlqimit mund të ndikojë në funksionimin e disa veçorive të faqes.
Funksionale
Always active
Cookies funksionale janë të domosdoshme për funksionimin bazë të faqes dhe nuk mund të çaktivizohen.
Preferences
The technical storage or access is necessary for the legitimate purpose of storing preferences that are not requested by the subscriber or user.
Statistika
Cookies statistikore na ndihmojnë të kuptojmë se si përdoret faqja, në mënyrë anonime, për të përmirësuar përmbajtjen.The technical storage or access that is used exclusively for anonymous statistical purposes. Without a subpoena, voluntary compliance on the part of your Internet Service Provider, or additional records from a third party, information stored or retrieved for this purpose alone cannot usually be used to identify you.
Marketing
Cookies marketingu përdoren për të shfaqur reklama relevante dhe për të matur efektivitetin e tyre, përfshirë Google AdSense.